Skip to main content

DOM - top left

  • School of Medicine and Public Health
  • University of Wisconsin-Madison
  • UW Health

DOM - top left mobile

  • SMPH
  • UW Health
  • UW-Madison

DOM - top right

  • News
  • Make a Gift
  • Intranet
  • Directory
  • Education

    Education

    Nationally recognized, innovative medical education programs to train the next generation of physicians.

    Image
    Internal medicine residents walking together in a hallway of University Hospital
    • Life in Madison
    • Internal Medicine Residency
      • How to Apply
      • Why Wisconsin?
      • Current Residents
      • Faculty, Chiefs and Staff
      • Graduate Success
      • Categorical Program
      • Curriculum and Pathways
      • Primary Care Track
      • Physician-Scientist Training Program (PSTP)
      • Research
      • Mentoring
      • Wellness
    • Fellowships
      • All Fellowship Programs
      • Resources For Fellows
      • QI Curriculum for Fellowship
      • Fellow Medical Education (FAME) Training Track
      • Wisdom, Integrity Leadership and Development (WILD) Program
    • Medical Student Education
      • Internal Medicine Interest Group
      • Visiting Students
    • Clinical Observerships
    • Undergraduate Student Opportunities
    • Grand Rounds
    • Continuing Medical Education
    • Education Innovations
    • Learner Benefits and Lifestyle
    • Training Facilities
    • Training Verifications
  • Research

    Research

    Whether in the laboratory or at the computer, our researchers tackle some of the most vexing problems in medicine.

    Image
    photo of Dr. Miriam Shelef, Rheumatology, in the lab
    • Research Environment
    • Research By the Numbers
    • Research Areas
    • Clinical Research
    • T32 Training Grants
  • Divisions

    Divisions

    Get to know our 11 divisions and related multidisciplinary programs.

    Image
    Department of Medicine lanyard
    • Divisions
    • Allergy, Pulmonary and Critical Care Medicine
    • Cardiovascular Medicine
    • Endocrinology, Diabetes and Metabolism
    • Gastroenterology and Hepatology
    • General Internal Medicine
    • Geriatrics and Gerontology
    • Hematology, Medical Oncology and Palliative Care
    • Hospital Medicine
    • Infectious Disease
    • Nephrology
    • Rheumatology
    • Related Centers, Institutes and Programs
    • Section of Applied Clinical Informatics

    Section of Applied Clinical Informatics

    Related Centers, Institutes and Programs

     

    Image
    Research Day, Dr Kind and Dr Rogus-Pulia
  • Clinical Programs
  • About Us

    About Us

    For those who want to change the world of medicine, the University of Wisconsin Department of Medicine is the best place to learn, teach, discover, and work.

    Image
    Keshvi Chauhan, Mounica Konjeti
    • Chair's Message: Vision, Mission and Values
    • Social Impact and Belonging
    • Faculty Development
    • Clinical Faculty Development Series Highlights
    • Department Leadership
    • Faculty by Division

News

Breadcrumb

  1. About Us
  2. News
Filters
E-newsletter Archive
Subscribe to Vital Signs
Submit your news

New faculty Q&A with James Alstott, MD

Next-generation pacemaker

A matter of timing: Atrial fibrillation and arrhythmias

Promotions announced at 2017 faculty dinner

Faculty promotions for the 2017-18 academic year

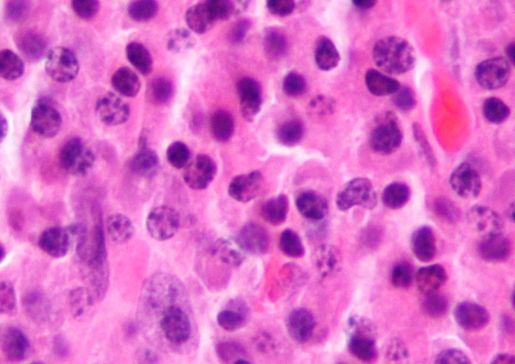
Micrograph (H&E stain) of a plasmacytoma

Dr. Natalie Callander discusses clinical trial for patients with relapsed or refractory multiple myeloma

Map of socioeconomic neighborhood disadvantage in the United States

Disadvantaged neighborhoods help explain some of Alzheimer’s disease racial disparities

Students from rural Wisconsin schools learn about science

UW-Madison science camp gives rural students a taste of life in the lab

Pagination

  • First page « First
  • Previous page ‹ Previous
  • …
  • Page 177
  • Current page 178
  • Page 179
  • …
  • Next page Next ›
  • Last page Last »
Department of Medicine
School of Medicine and Public Health
UW Health

Resources for

  • Prospective Residents
  • Prospective Fellows
  • Researchers
  • Referring Physicians
  • Prospective Donors

User menu

  • Log in

Contact Us

Department of Medicine
1685 Highland Avenue
5158 Medical Foundation Centennial Building
Madison, WI 53705-2281
608-263-1300
chair@medicine.wisc.edu

Follow us

facebook-logo linkedin-logo x-logo youtube-icon

Social media statement

Feedback, questions or accessibility issues: webmaster@medicine.wisc.edu
Privacy Notice | © 2026 Board of Regents of the University of Wisconsin System

new site